Leistungen

Bleaching

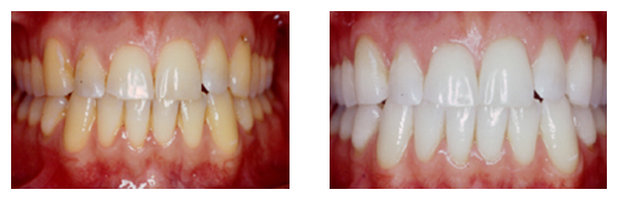
Bleaching

Bei guter Pflege hält die Aufhellung bis zu 10 Jahre oder länger. Es ist normal, dass die Zähne wieder nachdunkeln. Dieser Prozess lässt sich verlangsamen, wenn man auf stark färbende Nahrungs- und Genussmittel (Tee, Kaffee, Rotwein) und vor allem aufs Rauchen verzichtet.

Was viele nicht wissen:

Füllungen, Kronen und Veneers werden nicht mitgebleicht und müssen evtl. nach dem Bleichen ausgetauscht werden.

Auch gesunde Zähne können sich mit der Zeit verfärben. Die Ursachen für diese Zahnverfärbungen sind unterschiedlich. Häufig lassen beliebte Genussmittel unsere Zähne schlecht aussehen:

Tabak, Kaffee, Schwarzer Tee oder Rotwein wirken auf unsere Zähne ein und sorgen langsam für eine Verfärbung. Diese Verfärbung lässt sich in der Regel durch normales Zähneputzen nicht mehr entfernen. In diesem Fall besteht die Möglichkeit die Zähne zu bleichen (engl. to bleach) und ihnen ihr strahlendes Weiß zurückzugeben.

Ob ein Bleichen der Zähne medizinisch unschädlich ist, zeigt sich bei der genauen zahnmedizinischen Untersuchung. Voraussetzungen für die Unbedenklichkeit der Anwendung und ein optimales Ergebnis sind:

  • gesunde Zähne (nicht kariös, evtl. vorhandene Füllungen müssen dicht sein)

  • eine professionelle Zahnreinigung im Vorfeld